玉米纖維的化學結構屬脂肪族聚酯,是一種嶄新的紡織纖維。玉米纖維是提取淀粉原料經發酵、抽絲而制成。有長絲、短絲、復合絲、單絲。其性能優越,穿著舒適,有彈性,懸垂性,吸濕性、透氣性、耐熱性,以及抗紫外線功能都很好。玉米纖維之所以受到關注,并顯示出越來越強大的生命力,關鍵在于它具有很好的生物降解性,玉米纖維埋入土中2-3年后強度會消失,如果與其他廢棄物一起堆埋,幾個月內便為分解,降解產物為無害的乳酸、二氧化碳和水。因此,玉米纖維被譽為新一代環保型纖維。
一、玉米纖維的性能
玉米纖維的化學結構如下:
.jpg)
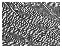
玉米纖維側面及橫截面的顯微鏡照片如圖1、圖2:
.jpg)
圖1玉米纖維側面圖 圖2 玉米纖維橫截面圖
由圖可知,玉米纖維的橫截面呈非完整的圓形。
該纖維的性能具有合成纖維的特性,其物理性能與聚酯和聚酰胺纖維比較如表1。
表1 玉米纖維與聚酯和聚酰胺纖維性能比較
.jpg)
由表1可知,玉米纖維的熔點比聚酯和聚酰胺纖維低得多,故染整加工中溫度控制要注意,且其產品不適用于耐熱的用途。但其折射率較低,易染得表觀顏色較深(這不是指染料的上染率),且聚乳酸纖維有優良的耐曬性、抑菌和防霉性,其服用性能與聚酯纖維比較如表二所示。
.jpg)
相關信息 







推薦企業
推薦企業
推薦企業